-
-
※ 환자분이 연락처를 남기면 치과폰으로 알림문자 전송됩니다.
(용도 : 이벤트 안내 / 상담 /소식 제공)










치과교정과 전문의 + 통합치의학과 전문의
더블보드 전문의는 전문의 자격증이 2개의 의사를 말합니다.
이수용 대표원장님은 치과교정과 전문의 자격과 통합치의학과 전문의 자격을 취득하여 전문적인 치아교정 치료와 함께
폭넓고 체계적인 구강건강 관리도 가능합니다.


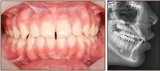
돌출입






한국임상교정치과의사회(KSO)란?
Korea Society of Orthodontists의 약자로 치과교정학을 전공하고 치과교정치료만을 위해 연구하고 정진해온 교정치과의사들의 모임입니다.
1992년 설립되어 10년 이상의 교정치료 경력과 까다로운 실기시험을 통과해야 정회원으로 등록됩니다.
교정치료에 필요한 전문지식과 함께 진료능력을 검증한 치과의사에게 정회원 자격을 부여하고 있으며 회원수는 전국적으로 100명 내외입니다.


구강스캐너(트리오스) : 치아에 빛을 투사하여 치아형상을 컴퓨터에 구현합니다. 고무재질을 이용한 치아 본뜨는 과정이 생략되어 환자분의 불편함이 감소하였습니다.
컴퓨터단층촬영기(3D CT) : 얼굴을 다각도로 촬영하여 치아 위치, 안면골격, 턱관절에 대한 3차원 촬영이 가능합니다.
안모스캐너(3D 모르페우스) : 얼굴전용 스캐너로 얼굴 데이터를 이용하여 가상으로 교정 및 수술을 할 수 있는 3D 가상치료 시뮬레이터입니다.


"정확한 진단은 부정교합의 원인을 파악하고 환자 맞춤 교정치료와 좋은 결과를 위해 중요한 교정과정입니다."
안성바른이교정치과는 다양한 3D 촬영 장비를 사용하여 '디지털 치아교정'을 진행합니다.
정확한 환자정보를 바탕으로 환자 개인에게 필요한 치료계획을 수립합니다.


더블보드 전문의의 우수한 교정치료
정확한 진단을 위한 3D 입체진단
다양한 교정장치 & 교정치료 솔루션
철저한 멸균과 위생관리
교정결과에 대한 높은 만족도
합리적인 비용 & 교정분납제도


같은 부정교합 증상도 환자마다 치료방법이 달라야 합니다.
환자마다 증상 정도와 구강상태가 다르기 때문입니다.
안성바른이교정치과는 어떤 케이스든 환자와 의료진이 만족하는 결과로 마무리합니다.

교정 전

교정 후

교정 전

교정 후

교정 전

교정 후

교정 전

교정 후


우리 아이의 올바른 성장을 위한 성장기 교정
청소년 교정 : 만 12세 이후(영구치열기)
좋은 인상을 주는 성인교정
삶의 질을 높이는 중장년 교정


돌출입 교정
덧니교정
주걱턱 & 무턱
교합 이상
앞니 부분교정
보철치료를 위한 교정
성장기 교정
어린이 교정검진
성인교정



